CHESTLESSONS
Tuesday, February 22, 2011
Images 4
Bilateral Pneumothorax in CF
Obstructive emphysema
Cogenital Cystic adenomatoid malformation
Morgagni Hernia
Sunday, February 20, 2011
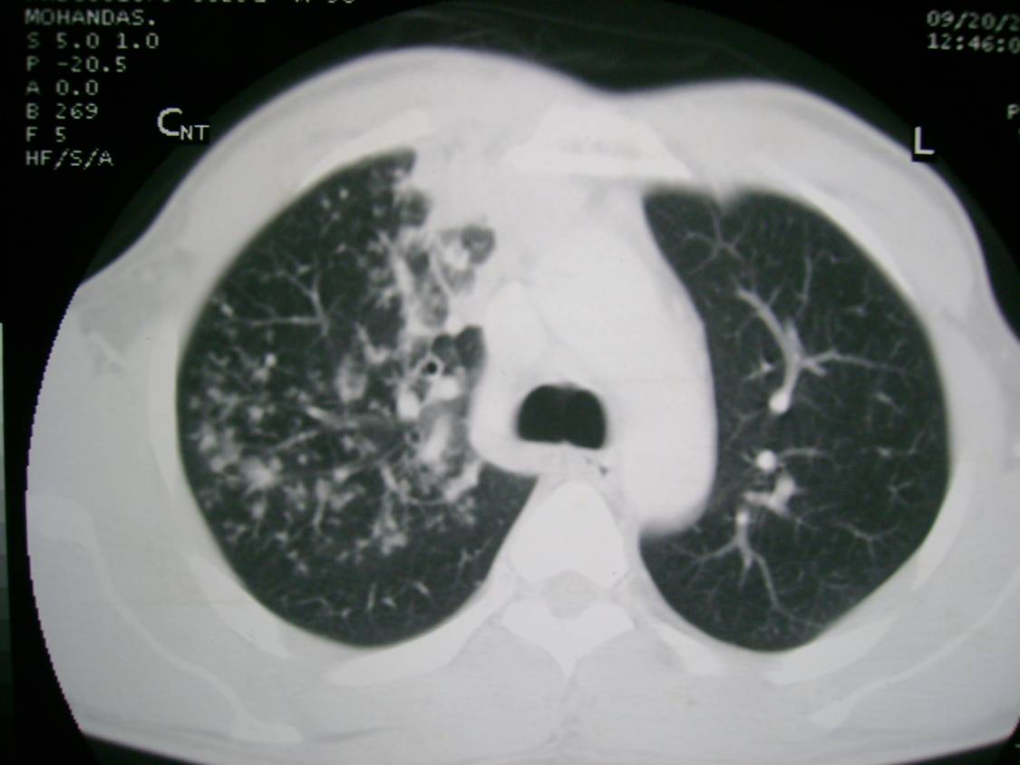
Reticulonodular Shadow
Traction Bronchiectasis
Honey comb with mycetoma
Thin walled cysts
Peri vascular nodules-Diffuse
Tree in Bud
Saturday, February 19, 2011
Chest Images 3
Thick Pleural adhesion,Tuberculous
Left Pneumothorax with multiple loculations
Thin Pleural adhesions in a case of Pneumothorax
Bronchoscopic view of an intraluminal growth
Chest Images-2
Newer Posts
Older Posts
Home
Subscribe to:
Comments (Atom)